打撲症状は江戸川区小松川のゆめみぐさ接骨院が丁寧に対応いたします。

スポーツや日常生活で「ぶつけた」「転んだ」「何かに当たった」など、
外からの衝撃によって起こるケガを打撲(だぼく)といいます。
一見軽いケガに見えても、筋肉や皮下組織の損傷・内出血・骨膜損傷を伴うことが多く、
放置すると痛みが長引いたり、骨化性筋炎などの後遺症を残す場合もあります。
■打撲の主な症状
• 打った部分の腫れや内出血(青あざ)
• 押すと強い圧痛がある
• 動かすとズキッと痛む
• 時間が経つと腫れが広がる・熱を持つ
• 皮下や筋肉の奥にしこり・硬さを感じる
軽度でも深部に血腫(血のかたまり)ができることがあり、
その血腫が吸収されずに残ると、筋肉が硬くなる原因となります。
■ももかん(大腿部打撲)について
スポーツ中によくみられる打撲の代表例が、
ももかん(大腿部打撲)です。
特にサッカーやバスケットボールなど、相手選手の膝や体が
太ももの前(大腿四頭筋)に強くぶつかったときに発生します。
受傷直後は「痛いけど大丈夫」と思って動き続けてしまうことがありますが、
筋肉の中では出血や炎症が起きており、
放置すると治りが遅くなったり、筋肉が硬くなったりします。
ポイントは「早期の適切な応急処置」です。
打撲直後はできるだけ早くアイシングと圧迫を行い、
腫れや内出血を最小限に抑えることが重要です。
■骨化性筋炎(こっかせいきんえん)とは
打撲を放置したり、強いマッサージ・ストレッチを早期に行った場合、
骨化性筋炎(こっかせいきんえん)という合併症を起こすことがあります。
これは、筋肉の中にカルシウムが沈着して“骨のように硬くなる”状態です。
特に、太ももの打撲(ももかん)で発生しやすく、
しこりのような硬さや痛み、関節の動かしづらさを伴います。
いったん骨化が進むと自然に治るまで数ヶ月かかることがあり、
運動制限やリハビリが必要になる場合もあります。
早期から正しい処置を行うことで、骨化性筋炎を予防できます。
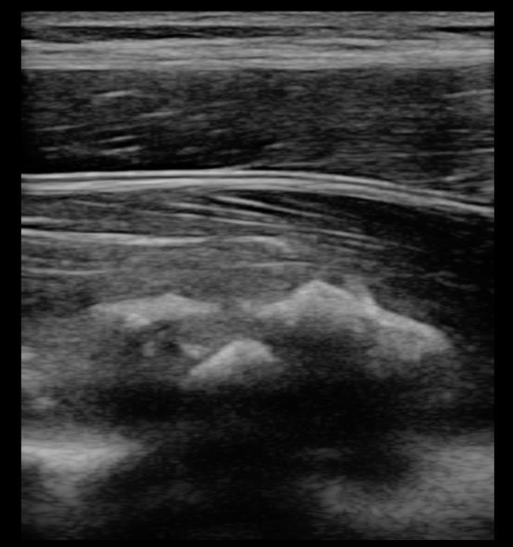
下記エコー画像は他院にて太ももの打撲を適切に処置をしていただけなく、
悪化し骨化性筋炎に移行してしまった症例です。

■ゆめみぐさ接骨院での検査・施術
当院では、打撲やももかんの症状に対して、
超音波エコー観察装置を用いて内部の状態を正確に確認します。
• 血腫の有無
• 筋肉の損傷の程度
• 骨膜下出血や小さな骨折(骨挫傷)の可能性
などをその場でチェックできます。
主な施術内容
✅ 1. 応急処置(PORICE処置)
保護・最適な負荷・冷却・圧迫・挙上を徹底し、腫れや出血を最小限に。
✅ 2. 超音波エコー観察による経過チェック
血腫の変化を観察し、吸収を促進させる施術を行います。
✅ 3. 物理療法
• 超音波治療器:損傷組織の修復を促進
• ハイボルト療法:痛みと炎症を軽減
✅ 4. 固定・安静指導
過度なストレッチやマッサージは禁物。適切な期間の安静を守りながら、
回復に合わせて徐々にリハビリを開始します。
✅ 5. 手技療法・リハビリ
炎症が落ち着いたら、筋肉の柔軟性回復と再発予防のための手技療法・運動指導を行います。
■このような方はご相談ください
• 太ももや腕を強く打って腫れている
• 青あざが広がってきた
• 押すと強く痛い・動かすとズキッと痛む
• ももかんをしてから太ももが硬くなってきた
• 打撲から数週間経っても違和感が取れない
📍 江戸川区小松川で打撲・ももかんならゆめみぐさ接骨院へ
ゆめみぐさ接骨院では、
超音波エコー観察・物理療法・リハビリ指導を組み合わせ、
打撲やももかんの早期回復・骨化性筋炎の予防を徹底サポートしています。
江戸川区小松川・平井・船堀・東大島エリアで
「打撲の痛みが引かない」「太ももが硬くなってきた」などの症状がある方は、
どうぞお早めにご相談ください。
| 住所 | 〒132-0034 東京都江戸川区小松川3丁目10-3 リバーウエストC館102号室 |
| TEL | 03-5875-3518 |
| アクセス | 都営新宿線東大島駅徒歩14分、 JR平井駅徒歩16分、江戸川小松川郵便局向かい |
| 駐車場 | 無し(近隣にコインパーキングあり) |
| 治療案内 | 各種保険取扱・交通事故・労災・自費治療・時間外での急患対応可 |
| 対応症状 | 骨折、脱臼、捻挫、打撲、肉離れ、交通事故治療、スポーツ外傷・障害、慢性疾患 |
お支払いには現金、クレジットカード、QRコード決済がご利用いただけます。









